At the General and Preventive Dental Clinics of National Dental Hospital, we provide comprehensive care using state-of-the-art facilities and advanced techniques. Our approach emphasizes routine services alongside early detection, minimally invasive treatments, and long-term solutions to ensure optimal oral health for patients of all ages. By integrating expert clinical care with modern advancements, we deliver comfortable, aesthetically pleasing, and lasting results that enhance your quality of life. Our services cover all aspects of general and preventive dental care. Comprehensive dental checkups help us identify issues early and create personalized treatment plans. Advanced dental imaging, such as oral and maxillofacial radiology (OPG/CBCT), enables accurate diagnosis of dental and jaw conditions. We prioritize early cavity detection and treatments while offering dental sealants and fluoride applications for lasting protection.
For gum health, our guided gum therapy uses a non-surgical approach to maintain healthy tissues. Damaged teeth are restored with direct dental restorations or root canal therapy in severe cases. Crowns, bridges, and dentures are skillfully crafted to restore function and aesthetics, while tooth extractions and minor oral surgeries address specific needs. We also focus on bite balance therapy, TMD screening for jaw alignment issues, and oral cancer screening for timely intervention. Each treatment is designed to promote lifelong oral health and overall well-being. Experience personalized care focused on your dental health and happiness-schedule your consultation today!
Problems & Solutions
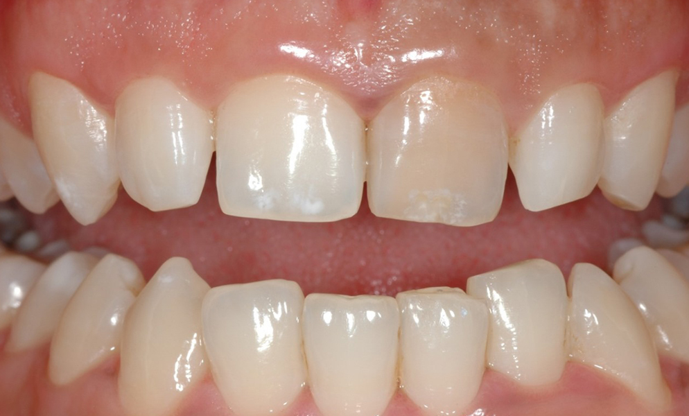
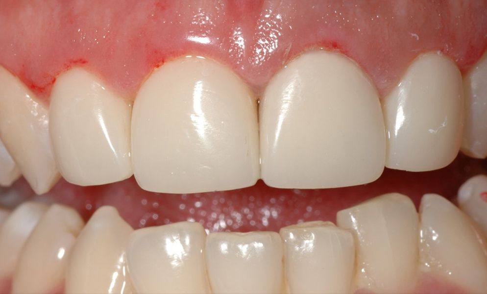
| Before | After |
![]() |
![]() |
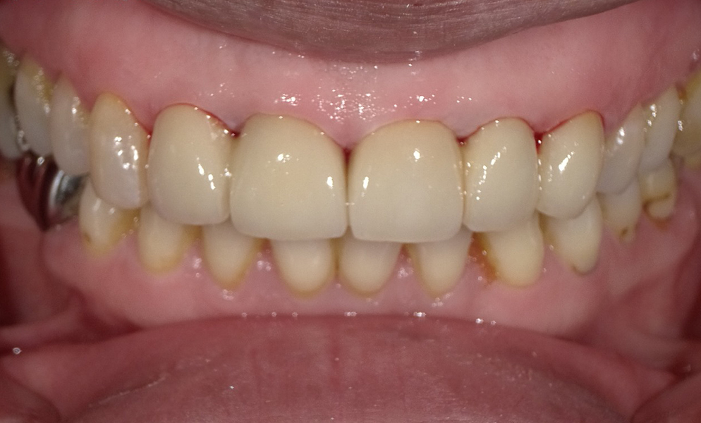
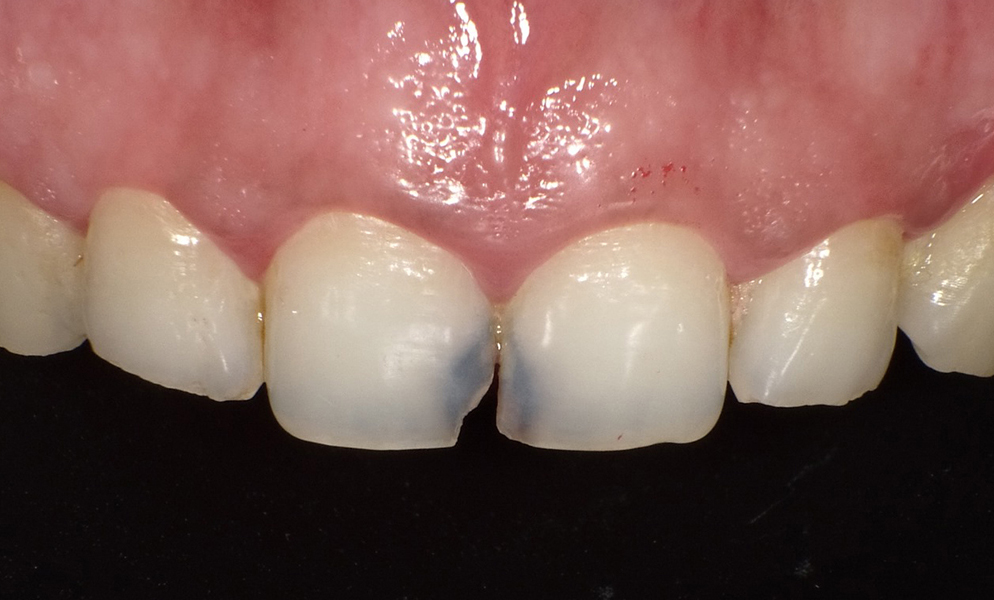
| Smile enhancement with indirect composite veneers | |
| Before | After |
![]() |
![]() |
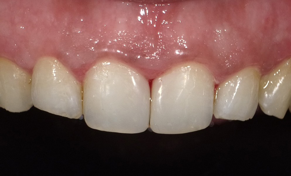
| Old silver amalgam restoration replaced with tooth-colored restoration | |
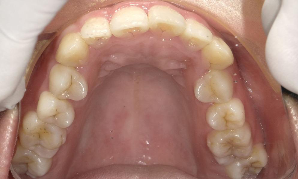
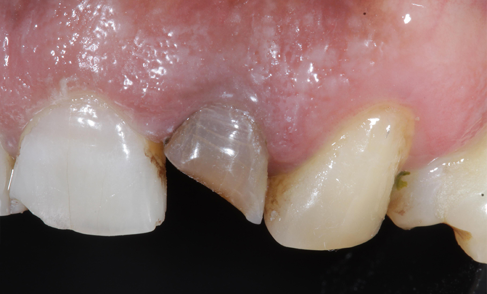
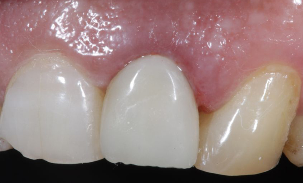
| Before | After |
![]() |
![]() |
| Fractured silver amalgam restoration replaced with tooth-colored restoration | |
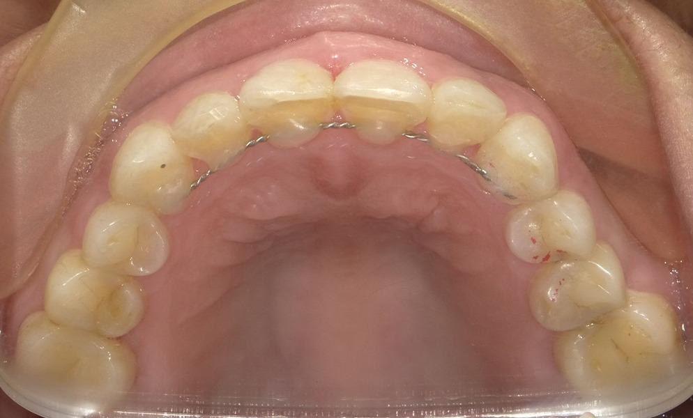
| Before | After |
![]() |
![]() |
| Alignment of the upper arch with Smile Makeup Braces | |
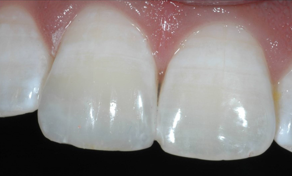
| Before | After |
![]() |
![]() |
| Fractured and discolored tooth restored with aesthetic composite resin | |
| Before | After |
![]() |
![]() |
| Fractured tooth restored with aesthetic composite resin | |
| Before | After |
![]() |
![]() |
| Poor restorations and crowns replaced with high-quality, aesthetic restorations and crowns | |
| Before | After |
![]() |
![]() |
| Decayed teeth restored with tooth-colored composite restorations | |
| Before | After |
![]() |
![]() |
| Decayed tooth restored with tooth-colored composite restoration | |
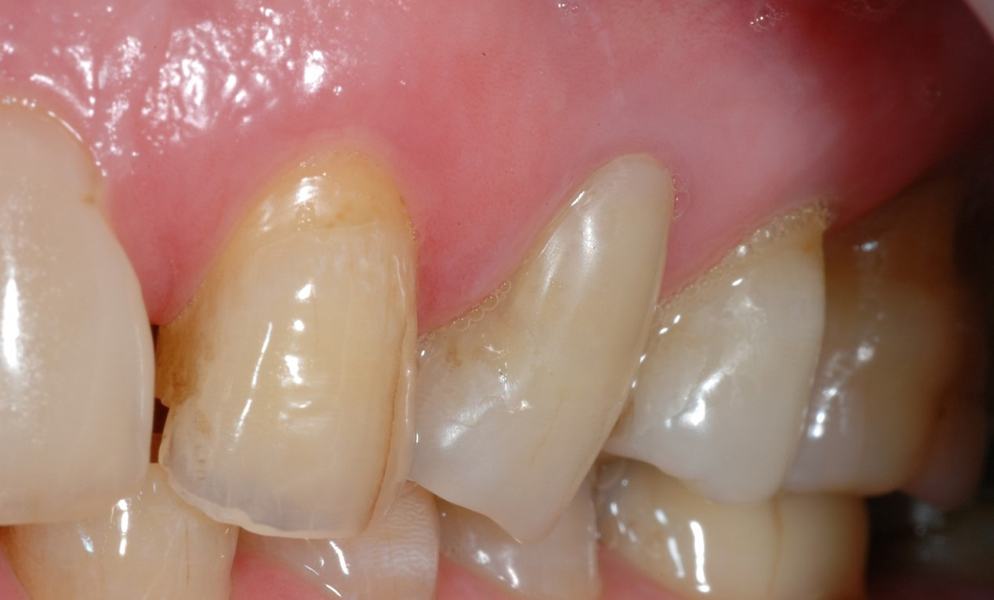
| Before | After |
![]() |
![]() |
| Gum and periodontal diseases managed using Guided Gum Therapy ( Two visits ) | |
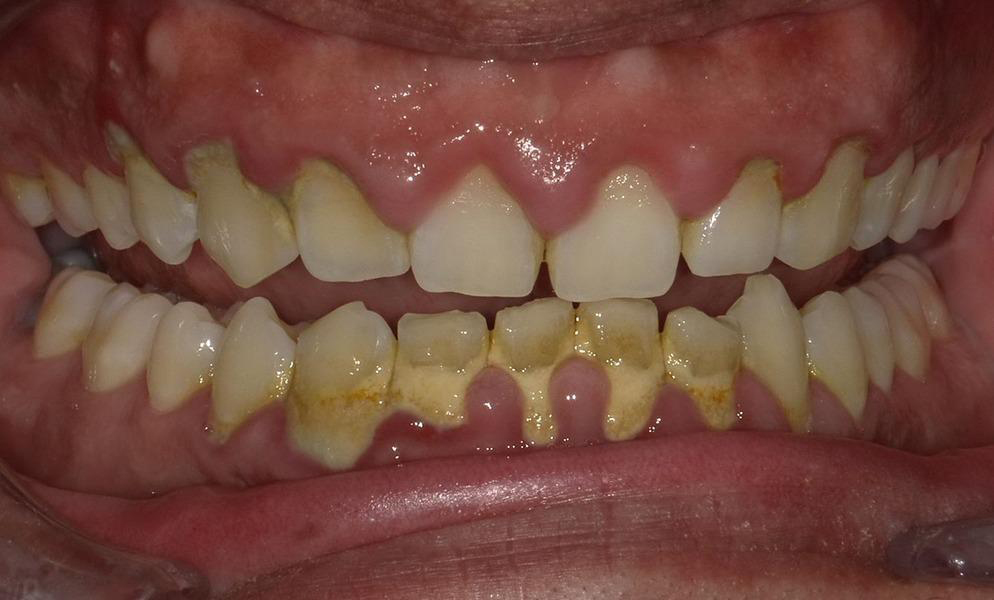
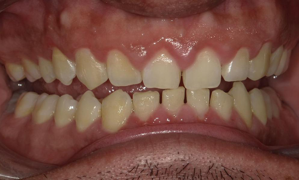
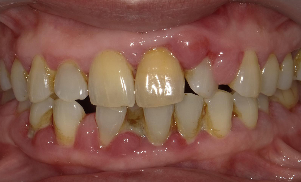
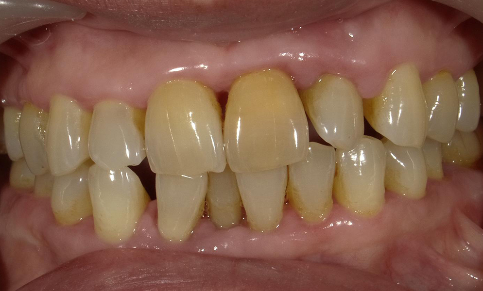
| Before | After |
![]() |
![]() |
| Gum and periodontal diseases managed using Guided Gum Therapy ( Two visits ) | |
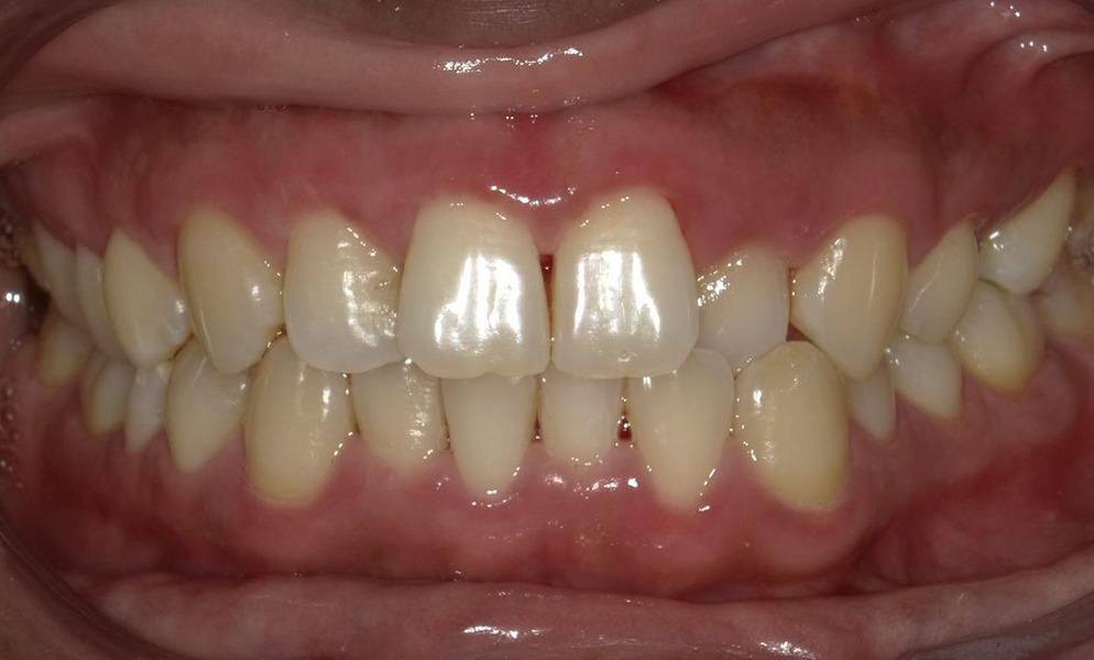
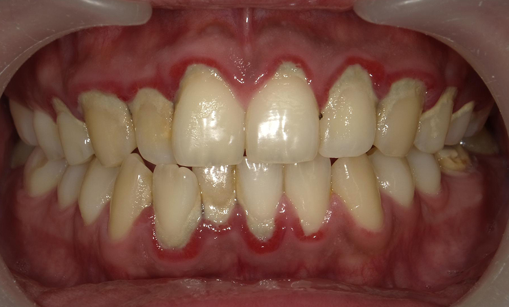
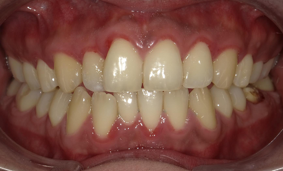
| Before | After |
![]() |
![]() |
| Gum and periodontal diseases managed using Guided Gum Therapy ( Three visits ) | |
| Before | After |
![]() |
![]() |
| Gum and periodontal diseases managed using Guided Gum Therapy ( Single visits ) | |


























