Oral Spirochetes:
|
|
|
|
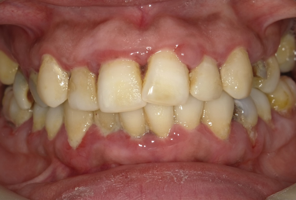
It often starts innocently: a little blood in the sink after brushing, slight tenderness in your gums, or maybe a hint of bad breath... |
Correcting Anterior
|
|
|
|
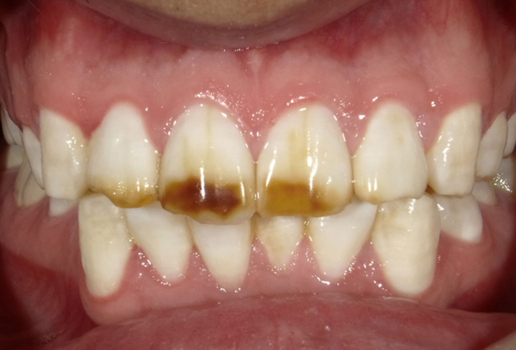
The path to a brighter smile was more than just about looks; it was about rediscovering a sense of self-esteem for this 22-year-old... |
Align Your Smile
|
|
|
|
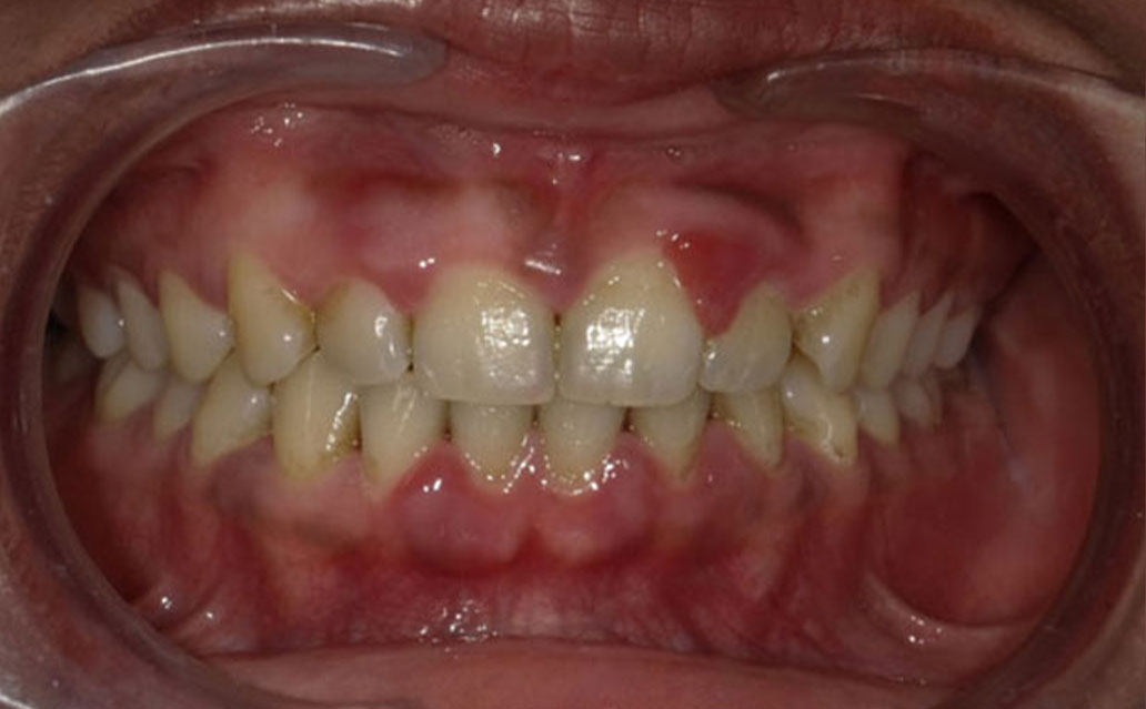
Life has a way of surprising us with both moments of joy and unexpected challenges, often leading to times of reflection. For one ... |
Stop Hiding,
|
|
|
|
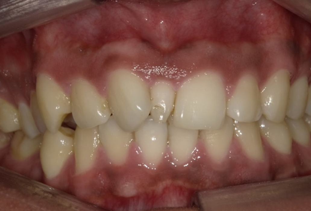
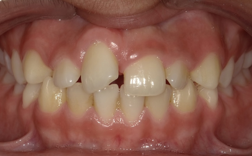
Imagine going to your dentist for a routine screening, only to find out you have a severely decayed tooth that's beyond saving... |
Give Your Extracted Teeth a Second Chance |
|
|
|
Imagine going to your dentist for a routine screening, only to find out you have a severely decayed tooth that's beyond saving... |
Smile Makeup:
|
|
|
|
A smile is far more than just a simple curve of the lips or an instinctive human gesture; it is a universal language that speaks acr... |
Is Your Gum Really Healthy?
|
|
|
|
How well do you truly know your teeth? Do they shine brightly, free of cavities, or do you notice something else-perhaps a slight, ... |
Rooted in Tradition,
|
|
|
|
Walking through the narrow alleys and bustling markets of Ason, Chhetrapati, and Indrachowk, one encounters a sacred site at the... |
