We are proud to offer world-class services in oral implantology and tissue regeneration therapy at our state-of-the-art National Center for Oral Implantology and Tissue Regeneration (NCOI-TR). As the first center in Asia to introduce torque-free short dental implantology and advanced natural guided regeneration therapy, we go beyond conventional torque-based dental implants and tissue regeneration methods, all integrated under one roof. Our commitment is to ensure the long-term success and stability of dental implants while preserving the health, function, and aesthetics of the surrounding tissues. By combining clinical expertise with cutting-edge techniques, we deliver natural-looking, highly functional solutions that enhance your quality of life.
NCOI-TR offers a range of oral rehabilitation services, from simple to advanced treatments, including single-tooth to full-arch implant-supported prostheses for both functional and aesthetic restoration. Additionally, the center specializes in Natural Guided Tissue Regeneration, utilizing the patient's own blood concentration, extracted tooth, or both for bone and tissue regeneration. We are also experts in vital bone regeneration using alloplastic bone grafts, ensuring stable, biocompatible outcomes for successful implant placement and peri-implantitis management. In addition to our comprehensive treatment services, NCOI-TR is dedicated to advancing dental education. We actively support the Academy of Advanced General Dentistry (AAGD) by hosting specialized training programs in oral implantology and natural guided tissue regeneration therapy, attracting both Nepalese and international dental professionals.
Problems & Solutions
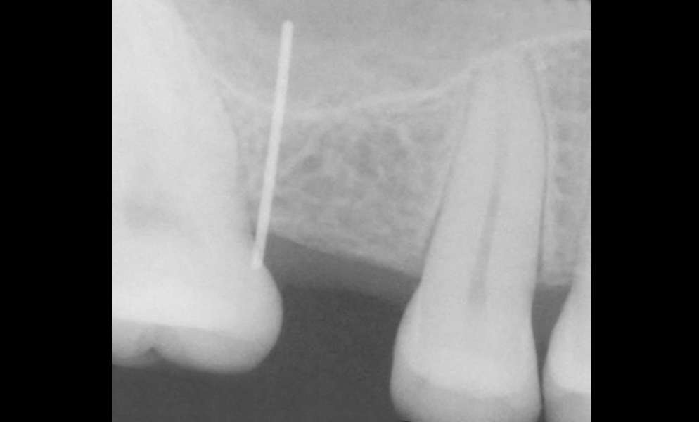
| Before | After |
![]() |
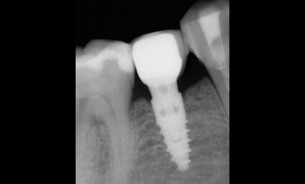
![]() |
| Single posterior tooth missing space restored with a short dental implant (Bicon, USA) | |
| Before | After |
![]() |
![]() |
| Single posterior tooth missing space restored with a 4x6 mm short dental implant (Bicon, USA) to avoid sinus lift and bone graft procedures | |
| Before | After |
![]() |
![]() |
| Single posterior tooth missing space restored with a conventional dental implant (Intra Lock , USA) | |
| Before | After |
![]() |
![]() |
| Single posterior tooth missing space restored with a 5x5 mm short dental implant (Bicon, USA) to avoid sinus lift and bone graft procedures | |
| Before | After |
![]() |
![]() |
| Full-mouth reconstruction with short dental implant (Bicon, USA)-supported prosthesis | |
| Before | After |
![]() |
![]() |
| Single anterior tooth missing space restored with a narrow dental implant (Bicon, USA) | |
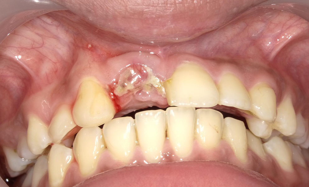
| Before | After |
![]() |
![]() |
| Single anterior tooth missing space restored with a narrow dental implant (Bicon, USA) | |
| Before | After |
![]() |
![]() |
| Single anterior tooth missing space restored with a short dental implant (Bicon, USA) | |
| Before | After |
![]() |
![]() |
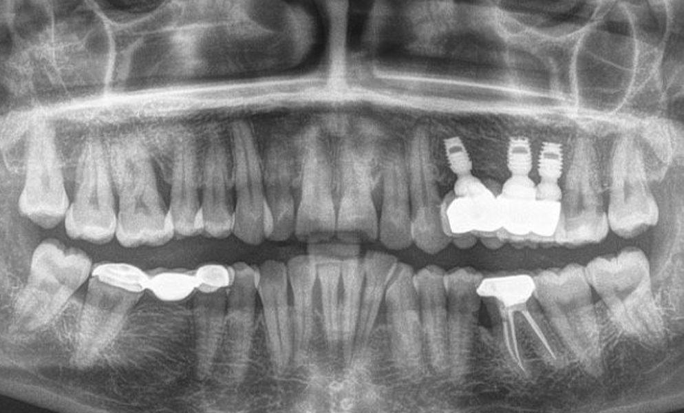
| Multiple upper posterior teeth missing spaces restored with a short dental implant (Bicon, USA)-supported bridge | |
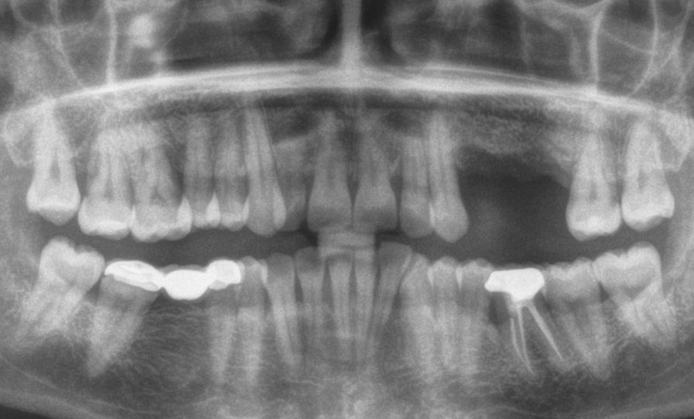
| Before | After |
![]() |
![]() |
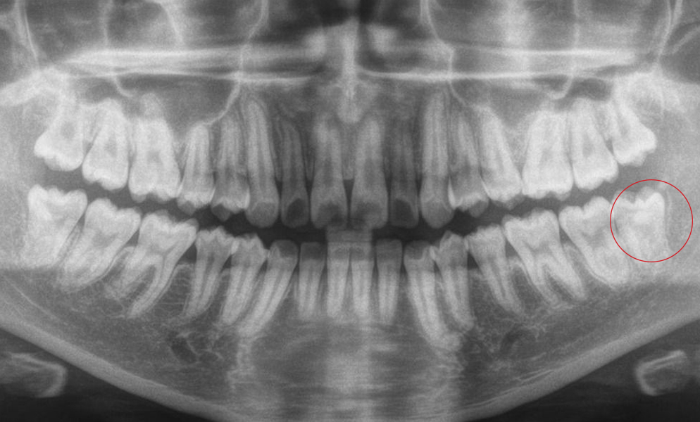
| Extraction of the third molar followed by autologous dentine graft | |
| Before | After |
![]() |
![]() |
| Fully edentulous lower arch restored with short dental implant (Bicon, USA)-supported prosthesis | |
| Before | After |
![]() |
![]() |
| Multiple upper and lower teeth missing spaces restored with short dental implant (Bicon, USA)-supported crown and bridge | |
| Before | After |
![]() |
![]() |
| Lower teeth extraction and immediate short dental implant (Bicon, USA)- placement | |
| Before | After |
![]() |
![]() |
| Case Name | |
| Before | After |
![]() |
![]() |
| Case Name | |






























