-

ORAL REHABILITATION & TMD MANAGEMENT

TMJA Harmony Dentistry is a specialized domain dedicated to restoring balance within the stomatognathic system—a complex network involving the teeth, muscles, joints, and airways. By focusing on harmony within this interconnected system, TMJA Harmony Dentistry addresses the health, functional, and holistic needs of patients affected by TMJA disorders. These disorders collectively encompass issues related to occlusal force imbalances, bite misalignment, masticatory muscle pain and discoordination, temporomandibular joint disorders (TMD), and sleep-related breathing issues. At our hospital, TMJA disorders are treated and managed using the latest evidence-based practices through a holistic Mind, Body, and Bite Approach. This minimally invasive approach ensures comprehensive care that considers not only the physical aspects of these disorders but also the patient's broader health and well-being. To support this vision, the hospital has established an exclusive TMJA Harmony Clinic, offering a range of services to address these complex conditions effectively.

Key services provided at the TMJA Harmony Clinic include Bite Balance Therapy (BBT), which realigns the bite to relieve strain on teeth, muscles, and joints; TMD management, offering comprehensive therapies to alleviate jaw pain, headaches, and jaw movement issues; mouth breathing and snoring management, providing solutions to improve airway function, reduce snoring, and enhance overall breathing quality; full mouth reconstruction, a complete restoration process to harmonize teeth and bite alignment for improved function and aesthetics; and Progressive Mind Relaxation (PMR) therapy, designed to reduce stress and muscle tension, facilitating better treatment outcomes and overall well-being.

TMJA Disorders

Before After
Night Grinding Habit Check using Bruxchecker
Before After
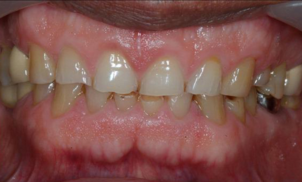
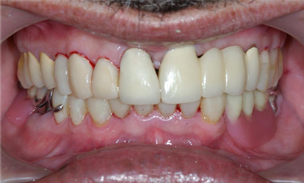
Imbalanced bite balanced using Digital Occlusal and Bite Balance Therapy
Before After
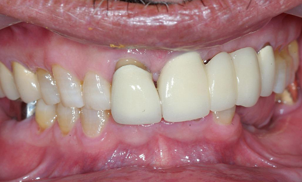
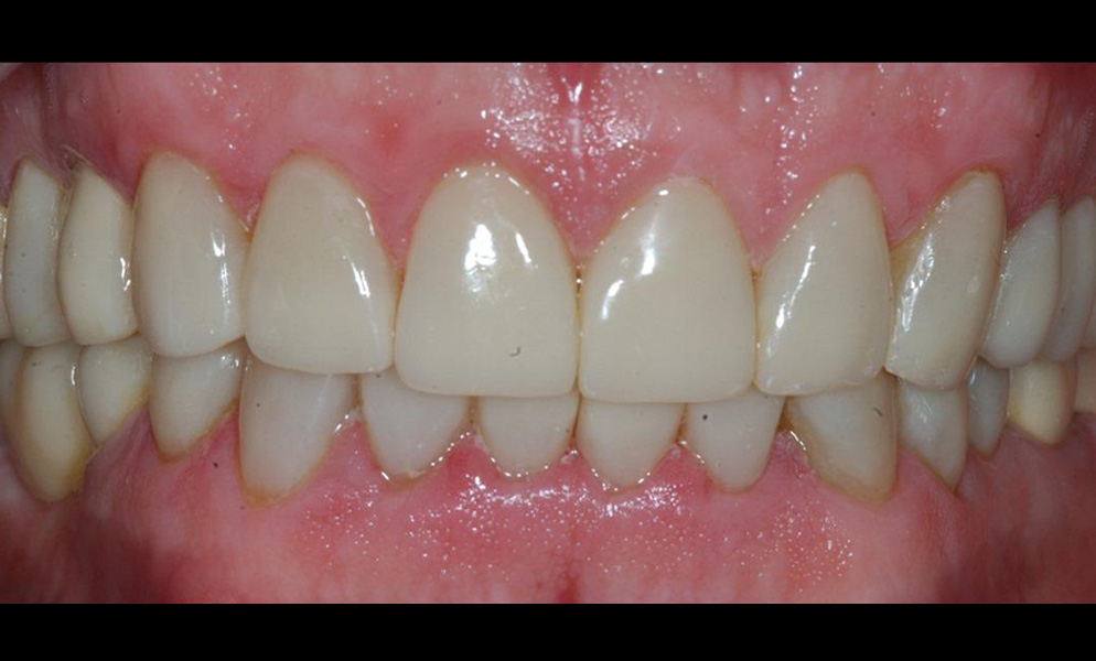
TMJA Harmony - Non invasive full mouth reconstruction and Digitally Guided Occlusal Force Finishing
Before After
TMJA Harmony - Non invasive full mouth reconstruction and Digitally Guided Occlusal Force Finishing