Give Your Extracted Teeth a Second Chance: The Role of Dentin Grafts in Dentistry
Posted by : Admin Posted on : 13 Jan 2025
-Vedic Smile Team
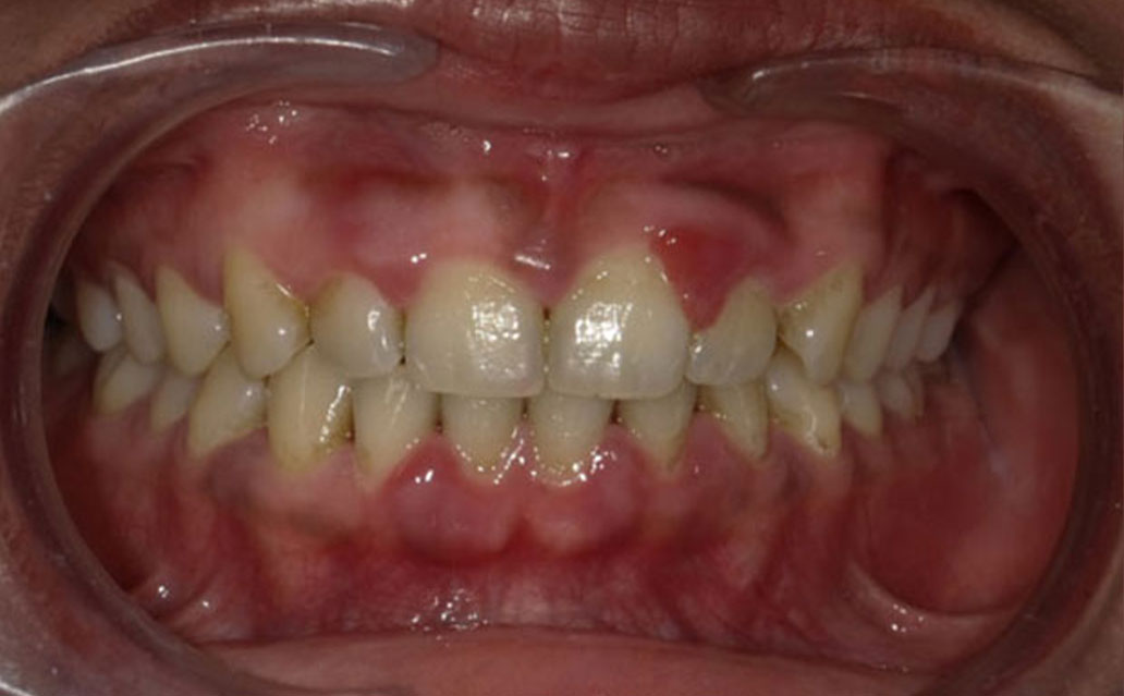
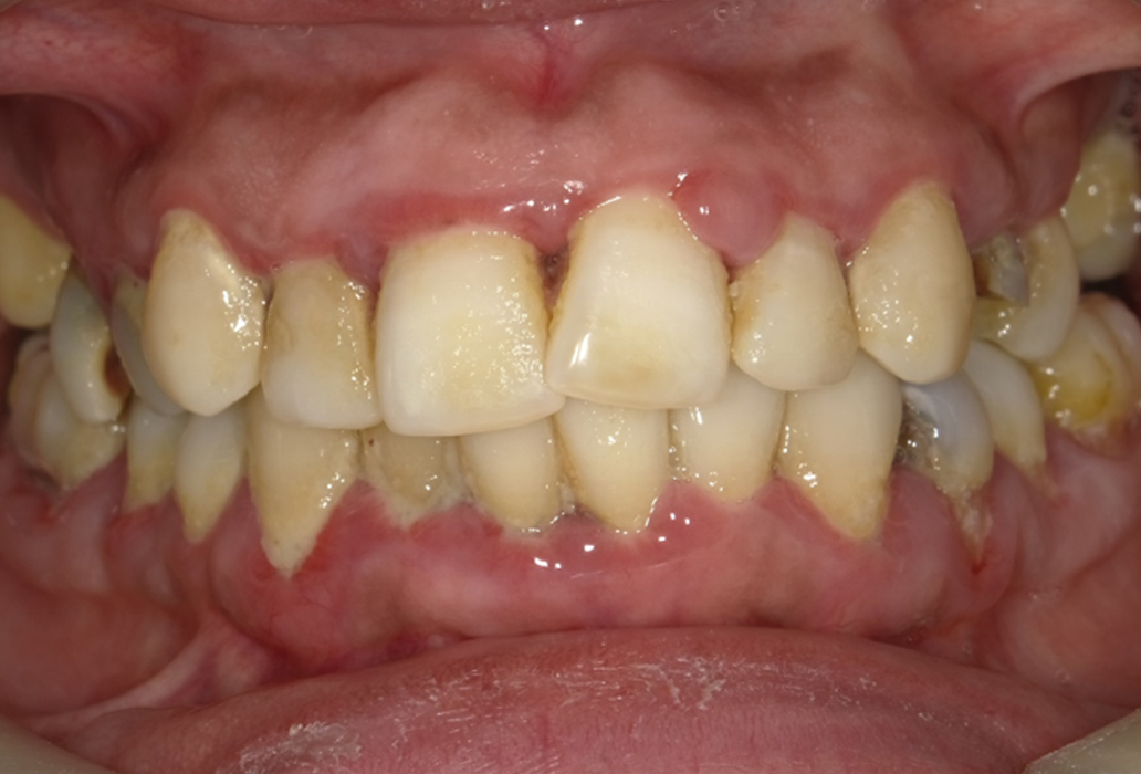
Imagine going to your dentist for a routine screening, only to find out you have a severely decayed tooth that's beyond saving. Your dentist explains that it can't be filled, and even a root canal won't help, so the best option is to have it extracted. After the procedure, curiosity gets the better of you, and you ask to see the tooth. It's dark, fragile, and clearly worse for wear. Thinking you'll take it home and throw it away yourself, you ask the dentist if you can keep it.
To your surprise, the dentist tells you that the tooth won't be discarded-it will be ground into tiny particles, sterilized, and placed back into the extraction site to help the wound heal faster and better, the process which is better known as Autogenous Dentin Graft. This unexpected twist turns an ordinary extraction into an innovative healing process, where your tooth contributes to your recovery in a way you never imagined. Contrary to that if you skip the plan and throw the teeth away, your ridge shrinks, by a process known as Residual Ridge Resorption.
So, think twice before you discard that extracted tooth, as it could be a game-changer for your oral health!
![]() |
How is Your Extracted Tooth a Powerful Healing Tool?
Your dental practitioner transforms your extracted tooth into Autogenous Dentin Graft - a natural, effective way to speed up healing and restore your jawbone.
Why Should You Keep It?
1. Boosts Healing with Speed & Precision : No more waiting for your bone to naturally heal. With your tooth turned into a graft, the healing process is accelerated, and you're back to feeling your best in no time!
2. Save Big on Costs :Skip the pricey synthetic or donor bone grafts! Your own tooth provides the graft material, saving you money while achieving superior results.
3. Build Strong and Healthy Bone : Your extracted tooth helps regenerate dense, high-quality bone, creating the ideal foundation for future dental implants.
4. Safe & Biocompatible :Since it's your own tooth, there's no risk of rejection or complications. It integrates seamlessly with your body for a smooth recovery.
5. Strengthen Implant Stability :Planning for a dental implant? Your autogenous dentin graft gives the implant a stable base, enhancing its longevity and success.
Why Graft Instead of Letting It Heal the Usual way? Grafting is better as it:
- Preserves Your Jawbones: Without grafting, bone naturally shrinks, affecting both appearance and function.
- Avoids Future Complications: Grafting ensures long-term oral health and prevents costly, complex procedures later on.
- Maintains Your Natural Look: Keep your jawline intact and avoid facial changes caused by bone loss.
BE WISE AND KEEP YOUR EXTRACTED TOOTH.
![]() |
![]() |
New Article
|
|
Oral Spirochetes: The Hidden Threat to Your Smile -Vedic Smile Team |
|
|
Correcting Anterior Smile Aesthetics -Vedic Smile Team |
|
|
Align Your Smile and Be Confident -Vedic Smile Team |
|
|
Stop Hiding, Start Smiling -Vedic Smile Team |
|
|
Give Your Extracted Teeth a Second Chance: The Role of Dentin Grafts -Vedic Smile Team |
|
|
Smile Makeup: The Power of a Confident Smile - Dr. Priya Shrestha |
|
|
Is Your Gum Really Healthy? Find Out Now! - Dr. Soni Bista |
|
|
Rooted in Tradition, Driven by Innovation - Dr. Gresha Shrestha |



